随着第一波人的阳康,最近有一个名词的出现让大家变得揪心起来,白肺,今天咱们就聊聊如何预防转阴后如何预防白肺。
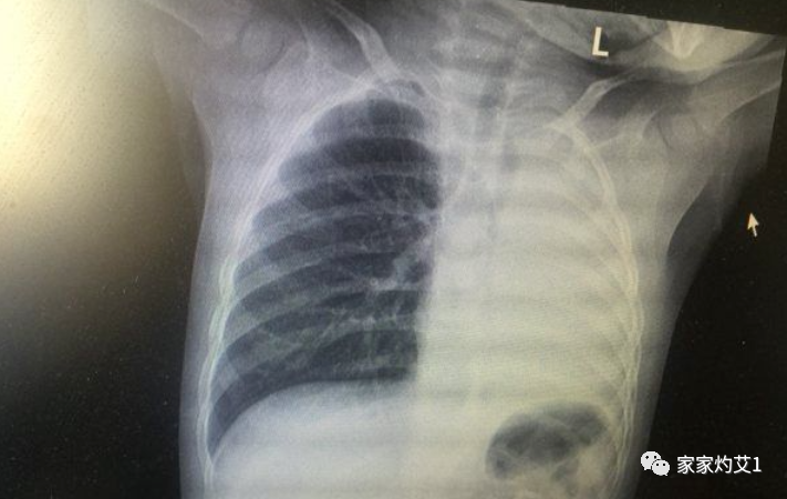
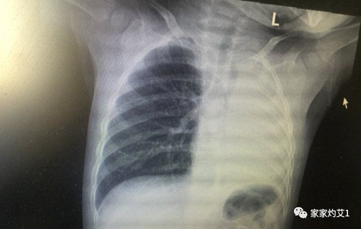
近日,一名12岁男孩咳嗽一周不就医,一侧肺部“扛”成了“白肺”。“抱着侥幸心理一直在家硬‘扛’,没想到‘扛’出这么重的病!”孩子家长悔不当初!
经过一系列的查体后初步判断,舟舟已经发展成肺炎了,好在经中西医结合治疗后,舟舟目前的症状已经明显好转。
无独有偶,前不久,知名自媒体人樊登老师在全家感染后,自己也感染了。他发着烧给大家直播了4个小时,在视频中,他给大家提了一个醒,有种病叫做静默型低氧血症。
这种病没有明显症状(静默),但实际上血氧含量已经非常低。樊登说他的父亲就是感染后,患上了这个静默型低氧血症,家人赶紧把老人送到医院,结果拍CT一查,老人出现了大面积白肺。最终老人还是没有抢救过来图片
一下子,白肺成为了大家都在关心的问题。这几天又有一位12岁的男孩也因为感染后发烧、咳嗽,后来在医院检查出来了【白肺】。那么,到底什么是【白肺】呢?
二、关于“白肺” ,3个简单方法在家里判断“白肺”

白肺,并不是指肺变成了白色,白肺是肺部影像学表现的一个口语化描述。
肺炎≠白肺。比较严重的肺炎,胸片上才会出现“白肺”,这种情况实际占比并不高。
肺部是由肺泡组成的,肺泡里面充满空气,进行CT或者X线检查的时候,射线穿过肺泡,影像表现是黑色区域,但是当肺泡里出现炎症或感染,有渗出液和炎性细胞的时候,肺泡就被这些渗出液和炎性细胞所填充,射线就穿不透,在影像学上出现白色区域。
随着渗出液的吸收、炎症的消退,白肺的表现也会逐渐消退,肺部的影像学表现会逐步恢复为黑色区域。
并不是只要肺部出现了炎症就都叫白肺,一般来讲肺部炎症较重、渗出液较多,白色的影像区域面积达到70%—80%时,在临床上把它称为白肺。
出现白肺之后,患者就会出现低氧血症或者是呼吸窘迫。
2个简单方法在家里判断“白肺”
方法一:听呼吸声音
肺部听着很“干净”,一没有,就是呼气-吸气的声音(正常肺泡呼吸音),那就说明没有肺部感染。肺部听着有“咕嘟咕嘟”的,像水烧开时冒泡的声音(湿啰音),那就说明肺部可能有感染了。
普通家庭没有听诊器,可以直接贴在肺部的位置听(如贴在前胸、后背都能听)。
另外,如果咳嗽有痰,咳痰时感觉痰像是在嗓子里,可能只是上呼吸道感染;但如果感觉痰像是在肺部,那就可能是肺炎了。
方法二:数呼吸次数
一般来说,娃有肺炎时,呼吸会比较快、比较急,也就是医学上常说的“气促”
如果发现异常,应该反复数几次,确认了有呼吸急促,那就要及时就医了。
三、西医不能预防,而中医不但可以预防还可以治疗

西医认为最关键的是白肺不能预防,只能说是预警;在中医里没有所谓白肺的这个说法!!!
中医认为是人体水液代谢失常产生的病理性产物,这些病理性产物聚集在肺里形成的病症。就是痰湿水饮壅蕴于肺而产生的病症—— 痰湿蕴肺证
痰湿蕴肺证
中医病证名。是指脾失健运,水谷不能化为精微上输以养肺,反而聚为痰浊,上贮于肺,肺气壅塞,上逆蕴阻所表现出来的咳嗽,咳声重浊,痰多,舌苔白腻,脉象濡滑的一类病证。本病证见于咳嗽。
病因
饮食不节,或感受湿邪,脾失健运,水谷不能化为精微上输以养肺,反而聚为痰浊,上贮于肺,肺气壅塞,上逆蕴阻。
提示:中国科学院院士仝小林提出奥秘克隆属于中医寒湿疫范畴。
病机
肺主气,司呼吸,上连气道、喉咙,开窍于鼻,外合皮毛,内为五脏华盖,其气贯百脉而通它脏,不耐寒热,若饮食不节,嗜酒好烟,或过食肥甘厚味辛辣,或平素脾失健运,饮食精微不归正化,脾湿生痰,上渍于肺,壅遏肺气,故咳嗽,咳声重浊,痰多;湿邪困脾,则脘痞,体倦,大便时溏;舌苔白腻,脉象濡滑为痰湿蕴肺之象。
临床表现
咳嗽反复发作,咳声重浊,痰多,因痰而嗽,痰出咳平,痰黏腻或稠厚成块,色白或带灰色,每于早晨或食后则咳痰甚痰多,进甘甜油腻食物加重,胸闷脘痞,呕恶食少,体倦,大便时溏,舌苔白腻,脉象濡滑。
调法
燥湿化痰,理气止咳。
中药: 法半夏、陈皮、茯苓、苍术、厚朴、杏仁、紫苑、款冬花等。
四、预防和防治“白肺”的艾灸穴位

如果预防白肺和静默型低氧血症,可以采用艾灸的方式,很多研究都表明艾灸能提升血氧饱和度。
像南京中医药大学吴元建发表的研究论文《腧穴热敏化艾灸治疗支气管哮喘的临床研究》,通过对照组实验的结果得出结论,热敏灸能改善支气管哮喘的肺功能,提升血氧饱和度。
另一篇开封市中医院团队发表在《河南中医》上研究论文,也有相同结论:腧穴热敏灸能有效改善慢性中度支气管哮喘患者的肺功能,且治疗效果持久。
今天跟大家分享一下阳康期间,自己也能施灸的预防【白肺】的艾灸穴位。这些穴位也能止咳平喘,如果咳嗽,也可以灸这些穴位。灸的时候可以静心体会,身体哪些地方出现灸感。


太渊

阴陵泉、丰隆

神阙

预防与调护
提高机体卫外功能,若久咳自汗出者 ,平时都可以用艾灸调理。
应注意气候变化,防寒保暖,饮食不宜甘肥、辛辣及过咸,嗜酒等不良习惯尤当戒除,避免刺激性气体伤肺。
适当参加体育锻炼,增强体质,平素易于感冒者,配合预防感冒保健操,面部迎香穴按摩,夜间足三里艾灸。